A artrose de quadril, também conhecida como osteoartrose coxofemoral, é uma doença degenerativa que afeta a cartilagem da articulação do quadril, causando dor, rigidez e limitação dos movimentos. Com o tempo, a cartilagem se desgasta, levando ao atrito entre os ossos e impactando significativamente a qualidade de vida. A Ortonibra, clínica especializada em ortopedia, aborda os principais aspectos dessa condição e quando a cirurgia de prótese de quadril se torna uma alternativa essencial.
O que é Artrose de Quadril?
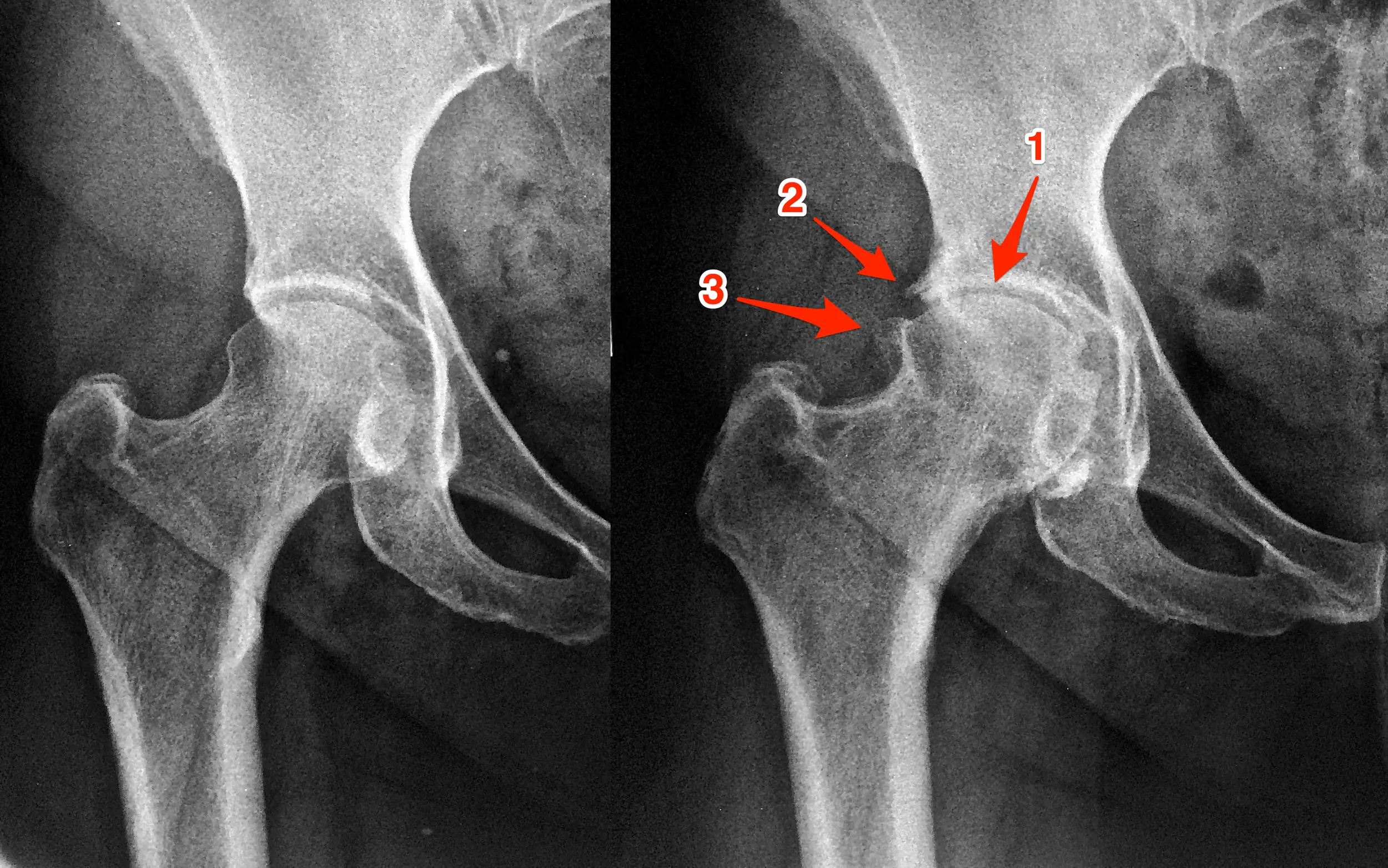
A articulação do quadril é formada pela cabeça do fêmur e pelo acetábulo (parte da bacia), ambos revestidos por cartilagem. Essa cartilagem permite um movimento suave e sem dor. Na artrose, essa cartilagem se deteriora progressivamente, resultando em dor, inflamação e dificuldade para caminhar, sentar ou realizar atividades cotidianas.
Sintomas e Diagnóstico
Os sintomas da artrose de quadril geralmente se desenvolvem lentamente e incluem:
•Dor na virilha, coxa ou glúteo: Pode piorar com a atividade e melhorar com o repouso.
•Rigidez: Especialmente pela manhã ou após períodos de inatividade.
•Limitação de movimento: Dificuldade em girar a perna, levantar ou calçar sapatos.
•Crepitação: Sensação derangidos ou estalos na articulação.
O diagnóstico é feito por um ortopedista através de exame físico e exames de imagem, como radiografias, que mostram o estreitamento do espaço articular e a presença de osteófitos (bicos de papagaio).
Tratamento: Quando a Prótese é Indicada?
Inicialmente, o tratamento da artrose de quadril é conservador, visando aliviar a dor e melhorar a função. Isso pode incluir:
•Medicamentos: Analgésicos, anti-inflamatórios e condroprotetores.
•Fisioterapia: Exercícios para fortalecer os músculos, melhorar a flexibilidade e a mobilidade.
•Mudanças no estilo de vida: Perda de peso, uso de bengalas ou andadores, e evitar atividades de alto impacto.
Quando o tratamento conservador não é mais eficaz e a dor se torna intensa e incapacitante, a cirurgia de artroplastia total de quadril (prótese de quadril) é a melhor opção. A prótese substitui as superfícies articulares danificadas por componentes artificiais, aliviando a dor e restaurando a mobilidade.
A decisão pela cirurgia é individualizada e leva em conta a intensidade da dor, o grau de limitação funcional e a resposta aos tratamentos anteriores. A Ortonibra oferece avaliação completa e acompanhamento especializado para pacientes com artrose de quadril, garantindo o melhor cuidado em todas as etapas do tratamento.
